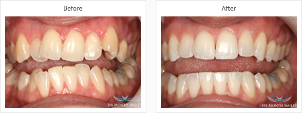
Six Month Smiles has taken the best aspects of braces and modified the treatment and the materials to give adults a common-sense, cosmetic solution that fits your lifestyle. Here is what makes 6 Month Smiles so innovative....

















6 Month SmilesTM braces are clear
Wires are usually tooth-coloured and very small
Treatment times usually fall within 4-9 months
Discomfort is minimal as teeth are gently repositioned
Cost is usually less than traditional braces
A: The 6 Month SmilesTM technique employs the latest technology and techniques in dentistry to move your teeth quickly and safely using a brace that is attached to your teeth. The key components of the treatment are the use of special nickel titanium wires and a primary focus of moving the teeth that show when you smile.
A: No! 6 Month SmilesTM dentists use tooth-coloured braces that are barely visible. The wires are usually tooth-coloured as well. These are nothing like metal braces!
A: 6 Month SmilesTM use low force to move teeth more comfortably. Many people think that the accelerated treatment means simply "tightening" regular braces to get the teeth moving, but that is not true. 6 Month SmilesTM utilizes standard orthodontic mechanics, but with an emphasis on the cosmetic appearance of your teeth rather than the position of your bite.
A: There are no more risks of root damage or other issues than those associated with traditional orthodontics. Since the forces used with 6 Month SmilesTM braces are lighter and teeth are seldom extracted, there are actually even fewer risks involved with 6 Month SmilesTM orthodontics.
A: Yes, as with any teeth-straightening treatment a retainer is necessary to maintain the straighter position of your teeth. If you don't want to wear a removable retainer, you can have a bonded retainer placed. There are a variety of options that you can choose from according to your personal preference and situation.
A: If you are an adult with crooked or spaced teeth and you're not looking for a major alteration to your bite, this could be the solution for you! Most adults ARE candidates for 6 Month Smiles.